預約門診專線
03-327-7722
Toggle navigation
關於睿凡
醫療團隊
醫療項目
舒眠植牙
人工植牙
微創植牙
全瓷牙冠
隱形矯正
齒顎矯正
假牙贋復
牙周治療
牙齒美白
全口重建
一般牙科
精選案例
3D齒雕
全瓷牙冠
植牙案例
局部矯正
診所環境
門診時間
最新消息
局部矯正
首頁
精選案例
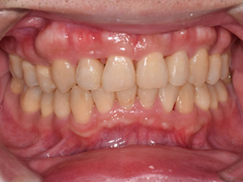
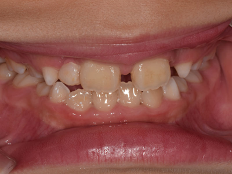
局部矯正
拔除小臼齒
更多
門牙矯正
更多
«
1
»
Facebook
電話
Google Map