預約門診專線
03-327-7722
Toggle navigation
關於睿凡
醫療團隊
醫療項目
舒眠植牙
人工植牙
微創植牙
全瓷牙冠
隱形矯正
齒顎矯正
假牙贋復
牙周治療
牙齒美白
全口重建
一般牙科
精選案例
3D齒雕
全瓷牙冠
植牙案例
局部矯正
診所環境
門診時間
最新消息
治療案例
首頁
精選案例
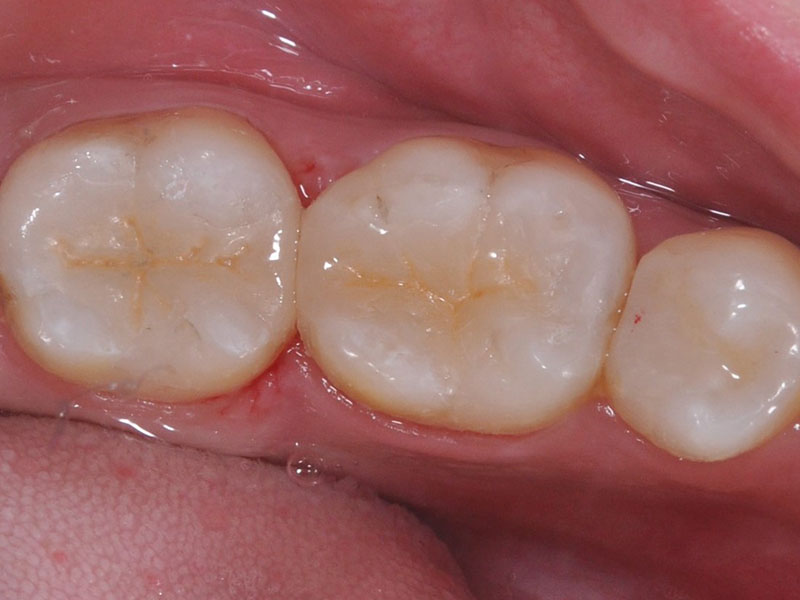
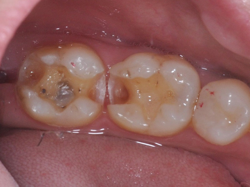
3D齒雕
治療前
治療後
聲明: 本所療程皆由專業醫生評估後,依照個人口腔狀況進行治療。因每位患者個別狀況不同,術後狀況也不盡相同,需親來本所由醫生評估。
Facebook
電話
Google Map