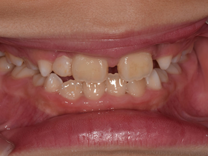
門牙矯正 首頁 精選案例 局部矯正 門牙矯正 7歲門牙局部矯正 治療前 治療後 聲明: 本所療程皆由專業醫生評估後,依照個人口腔狀況進行治療。因每位患者個別狀況不同,術後狀況也不盡相同,需親來本所由醫生評估。