拔除小臼齒
拔除右上和左上第一小臼齒
 
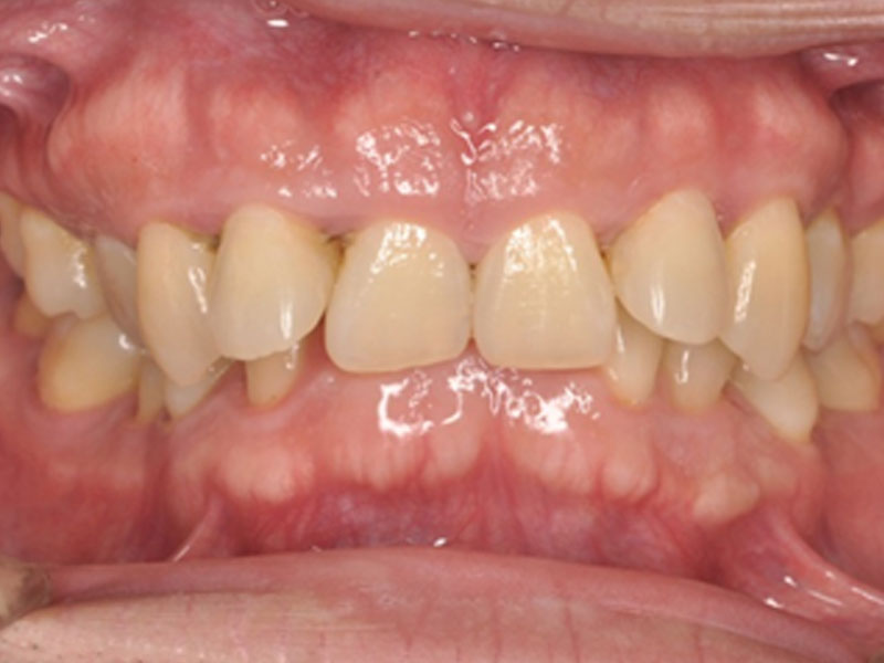
治療前
 
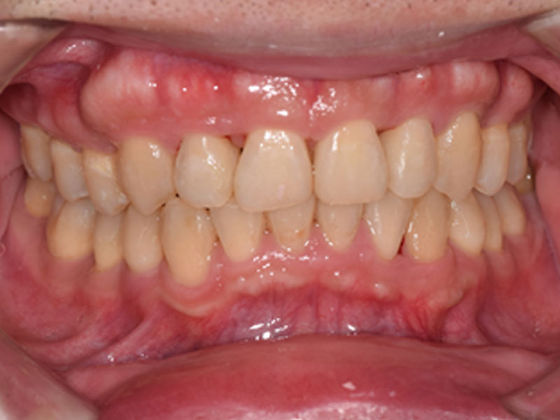
治療後
 
治療前
 
治療後
 
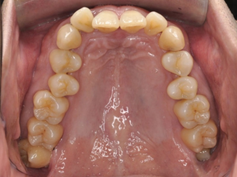
治療前-上排牙齒
 
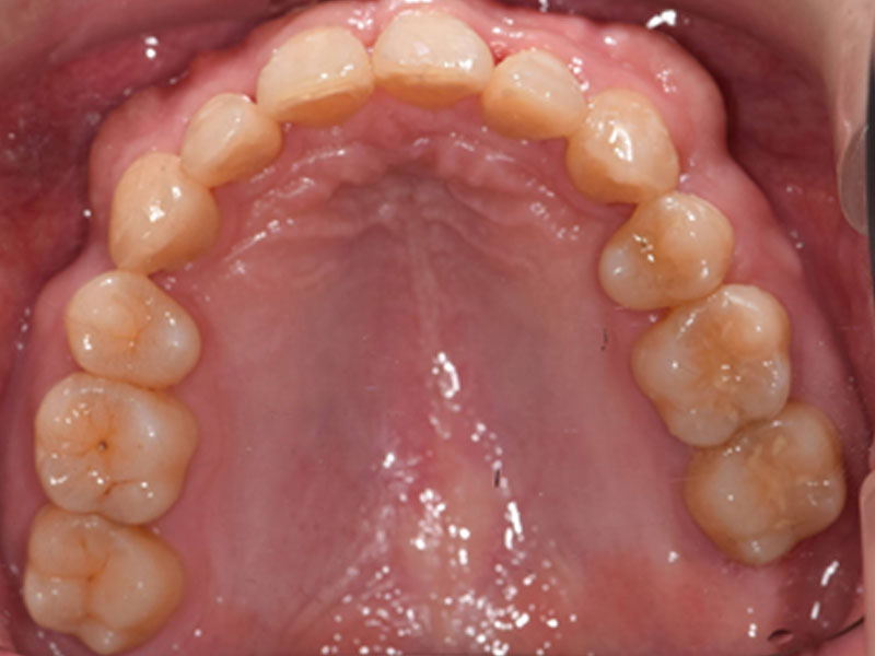
治療後-上排牙齒
 
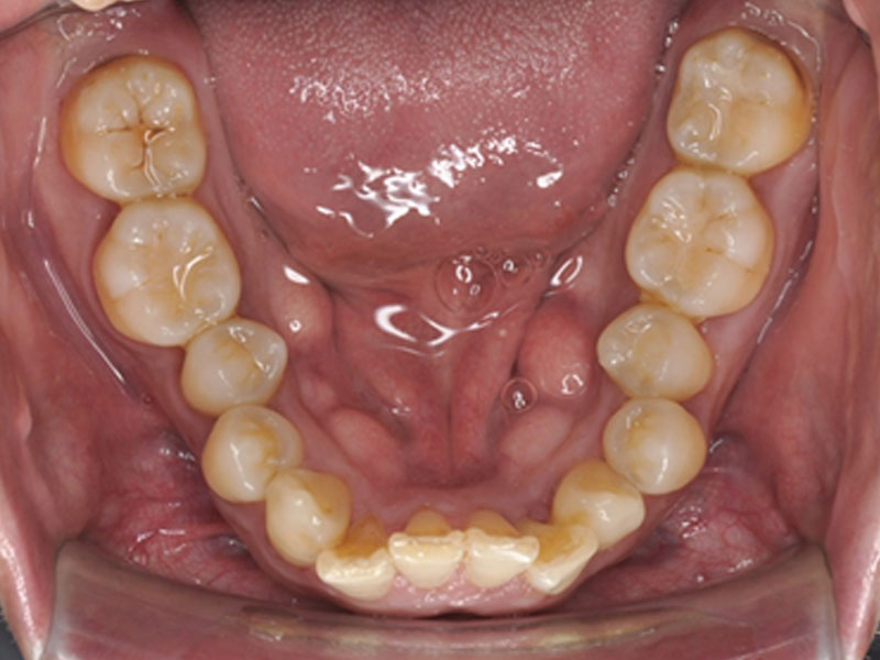
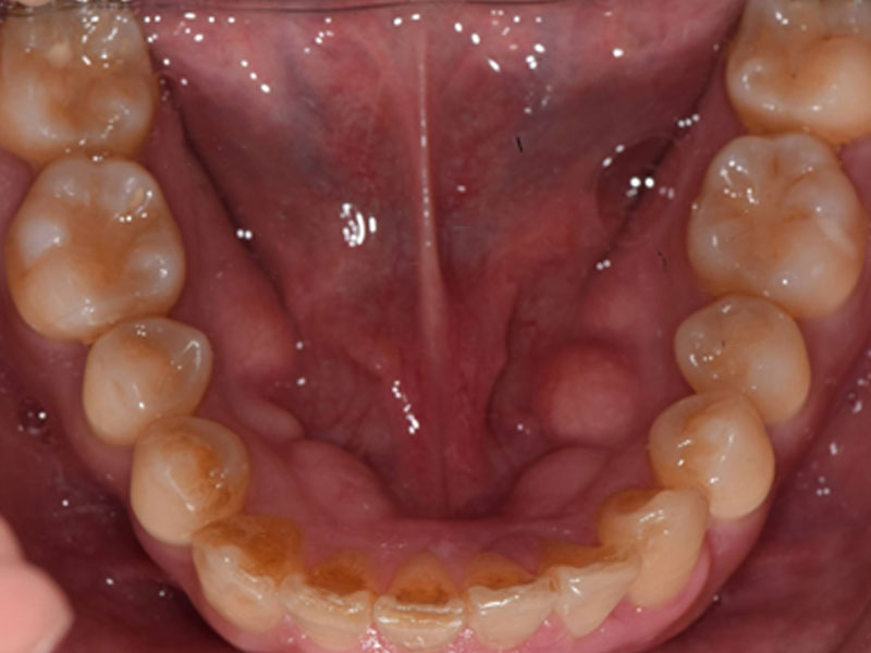
治療前-下排牙齒
 
治療後-下排牙齒
 
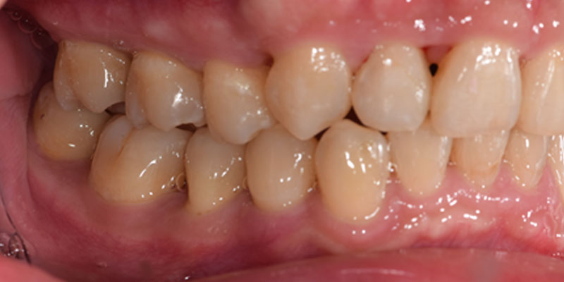
治療前-左側牙齒
 
治療後-左側牙齒
 
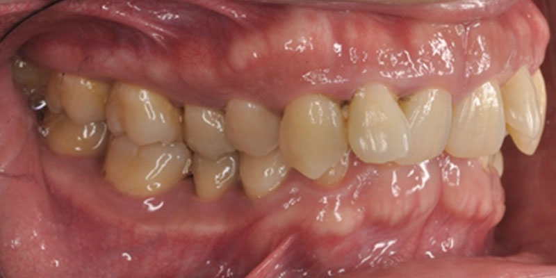
治療前-右側牙齒
 
治療後-右側牙齒
聲明: 本所療程皆由專業醫生評估後,依照個人口腔狀況進行治療。因每位患者個別狀況不同,術後狀況也不盡相同,需親來本所由醫生評估。
聲明: 本所療程皆由專業醫生評估後,依照個人口腔狀況進行治療。因每位患者個別狀況不同,術後狀況也不盡相同,需親來本所由醫生評估。